Thursday, September 19, 2019

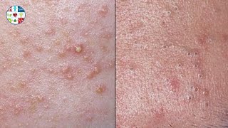
Cara Menghilangkan Jerawat Nasi Di Dahi

  • Cara Menghilangkan Jerawat Kecil Kecil di Dahi dan Wajah

    Cara Menghilangkan Jerawat Kecil Kecil di Dahi dan Wajah Cara menghilangkan jerawat kecil-kecil yang dilakukan di salon seringkali membuat mata kita ...
    Watch Now
  • Dr Oz Indonesia-Menghilangkan Jerawat Pasir

    Dr. OZ Indonesia adalah acara kesehatan di Trans TV. Acara ini tayang setiap hari Jum\'at pukul 08.30 WIB dan setiap hari Sabtu-Minggu pukul 15.00 WIB.
    Watch Now
  • Ternyata Begini Cara Menghilangkan Bruntusan Dengan Cepat

    Menghilangkan Bruntusan di wajah, hidung, dagu dan badan secara cepat dan alami.
    Watch Now
  • Cara Menghilangkan Jerawat Pasir

    Jerawat mungkin menjadi salah satu gangguan pada kulit wajah yang paling sering menyerang siapapun dan kapanpun, tanpa pandang bulu. jerawat pasir ...
    Watch Now
  • Bruntusan Hilang Dengan Cepat

    Hi! Jadi bruntusan aku itu dulu banyak banget dan wajah aku oily banget, tapi sekarang wajah aku udah ga oily lagi dan ga bruntusan lagi, Jadi aku bakal share ...
    Watch Now
  • cara menghilangkan jerawat kecil kecil di jidat dahi pipi nasi seperti biang keringat obat apotik

    cara menghilangkan jerawat kecil https://caramenghilangkanjerawatdanbekasnya.net/ cara menghilangkan jerawat punggung Video binahong Lainnya ...
    Watch Now
  • Cara Menghilangkan & Mengatasi Milia Bintil Bintil kecil | How to Remove Milia

    CHANNEL RACIKAN CANTIK Adalah Gudangnya tips & tutorial racikan aman & alami .. Ditunggu yah guys video-video selanjutnya di chanel RACIKAN ...
    Watch Now
  • 7 Cara Menghilangkan Jerawat Nasi Secara Alami

    Video Kami Yang Lainnya : https://www.youtube.com/channel/UCj_FTGnUsKBYhCxQafK_NGQ/videos.
    Watch Now
  • Cara Menghilangkan Jerawat Nasi Di Dahi, Cara Menghilangkan Jerawat Kering

    cara menghilangkan jerawat nanah dengan cepat, cara menghilangkan jerawat nasi di hidung, cara menghilangkan jerawat nasi di dahi, cara menghilangkan ...
    Watch Now
  • Tips Cara Menghilangkan Jerawat Kecil Kecil di Dahi

    erawat memang momok menakutkan untuk siapa saja yang memedulikan kecantikan. Kecuali tumbuh di pipi, kening adalah salah satu area wajah yang ...
    Watch Now
  • Buktikan Khasiatnya Cara Menghilangkan Jerawat Pasir Di Dahi Secara Alami

    Buktikan Khasiatnya Cara Menghilangkan Jerawat Pasir Di Dahi Secara Alami.
    Watch Now
  • Begini Cara Menghilangkan Dan Mengatasi Milia Pada Wajah

    Milia merupakan penyakit kulit yang berupa bintik-bintik kecil di wajah, dan biasanya muncul pada area mata, hidung dan pipi. Nah kalo kamu sedang ...
    Watch Now
  • MENGEJUTKAN!! Ini Cara Menghilangkan Jerawat Nasi Secara Alami

    Cara Menghilangkan Jerawat Nasi Secara Alami.
    Watch Now
  • TIPS HILANGKAN JERAWAT NASI DI HIDUNG & 5 MASALAH KULIT WAJAH

    Khas utk wanita yg mempunyai masalah liang pori-pori terbuka yg mengakibatkan muka berminyak dan tanpa sedar menyebabkan jerawat nasi tumbuh ...
    Watch Now
  • Rahasia Penyebab Bintik Putih Pada Wajah dan Cara Pencegahannya

    untuk Subscribe bisa klik di sini https://goo.gl/wBnZmS Berikan like, share dan komentar anda untuk membantu kami mengembangkan Channel ini, segala ...
    Watch Now
  • Cara Alami yang AMPUH untuk Menghilangkan MILIA - TERBUKTI | How To Get Rid of Milia at Home

    Bintik-bintik kecil atau milia ini merupakan kantong kecil pada kulit yang berisi keratin (protein yang membentuk lapisan luar kulit, biasanya ditemukan dalam ...
    Watch Now

No comments:

Post a Comment